全球有数百万夫妇会经历不孕不育,其中一半的病例都源于男性,对于10%的不育男性而言,精子产生很少或根本不产生;近日,一篇发表在国际杂志Science Advances上题为“SYCP1 head-to-head assembly is required for chromosome synapsis in mouse meiosis”的研究报告中,来自斯托瓦斯医学研究所等机构的科学家们通过研究揭示了精子形成过程中可能会出现的问题,从而就有望帮助开发出治疗男性不育症的新型疗法。
研究者Scott Hawley博士说道,男性不育的一个重要原因就是其不能制造精子,如果我们知道了确切的原因,或许就有望针对专门的问题去解决了。这项研究中,研究人员就有望解释为何某些男性不能制造出足够的精子来让女性受孕。在包括人类在内大多数有性繁殖的物种中,需要适当地构建出一种类似于格子桥状的关键蛋白结构来产生精子和卵细胞,研究人员对小鼠进行研究后发现,改变这种桥状结构中一个非常特定的点或许就会促使其崩溃并导致不育症的发生,这或许就为男性不育症的发生提供了新的研究线索,即出现了减数分裂的类似问题。
为何有些男性不能产生精子?研究人员揭示男性不育症的关键原因。
图片来源:Science Advances (2023). DOI:10.1126/sciadv.adi1562.
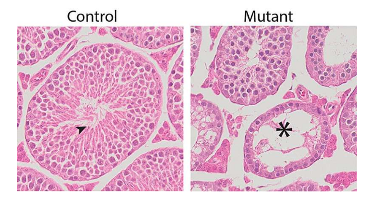
减数分裂是产生精子和卵细胞的细胞分裂过程,其包括多个步骤,其中一个步骤就是形成一种称之为突触核复合体(synaptonemal complex)的大型蛋白结构,就好比桥梁一样,这个复合体能将染色体对固定在适当的位置,从而确保必要的基因发生交换,这对于染色体正确分离形成精子和卵子至关重要。不育症发生的一个重要因素就是减数分裂的缺陷,为了理解染色体是如何正确地分离形成生殖细胞的,研究人员对于它们在形成突触核复合体之前所发生的事情非常感兴趣。
此前研究中,研究人员分析了许多组成突触核复合体的蛋白质,并揭示了其是如何发生相互作用的,同时识别出了与男性不育症相关的多种突变,研究人家园所调查的蛋白能能形成众所周知的桥状结构的格子,而且研究人员在人类、小鼠和大多数其它脊椎动物中都发现了桥状结构的一部分,这或许就表明其对于复合体的组装非常重要,同时他们还对人类蛋白质中的一个潜在的关键区域的不同突变进行建模,这或许就能促使研究人员预测哪种突变会干扰蛋白质的功能。
这项研究中,研究人员使用了一种精确的基因编辑技术来在小鼠机体中一个关键的突触核复合体蛋白中产生突变,这或许就使得研究人员能首次测试活体动物机体中这一蛋白质的关键区域的功能,通过模型实验预测,他们发现,仅仅单一的突变就能被证实是诱发小鼠不育症的罪魁祸首。研究人员在这里讨论的是精准手术,他们专注于这个巨大结构中一种蛋白质的微小区域,而且他们非常确定这或许是导致不育症的重要原因。长期以来,小鼠一直被用作研究人类疾病的模型,从使用人类蛋白序列的建模实验来看,以及这种蛋白质结构在物种间的高度保守性,引起小鼠不育症的精确分子或许也在人类中发挥着相同的作用。真正让研究人员兴奋的是,他们的研究能帮助理解对于生命非常必要的真正基本过程。
原始出处:
KATHERINE KRETOVICH BILLMYRE,EMILY A. KESLER,DAI TSUCHIYA, et al. SYCP1 head-to-head assembly is required for chromosome synapsis in mouse meiosis, Science Advances (2023). DOI:10.1126/sciadv.adi1562
来自: 生物谷
更多阅读:

