美国国家精神健康研究所(NIMH)的科学家们发现,雌性激素的波动会触发女性大脑关键记忆回路中的一种常见基因的非典型功能变化。脑扫描显示,当女性大脑执行记忆任务时,电路活动的改变与基因突变导致的雌性激素变化有关。
美国国家精神健康研究所(NIMH)的科学家们发现,雌性激素的波动会触发女性大脑关键记忆回路中的一种常见基因的非典型功能变化。脑扫描显示,当女性大脑执行记忆任务时,电路活动的改变与基因突变导致的雌性激素变化有关。
这一发现可能有助于解释,月经周期的个体差异和受荷尔蒙波动影响的生殖相关的精神障碍。它们还可能揭示具有性别差异的发病机制,如严重程度、情绪和焦虑症问题,以及精神分裂症。基因的两个版本任意一个发生改变,大约会影响1/4的白人女性的基因和激素的相互作用发生失调,从而影响她们的神经电路功能。
在此之前,大脑研究领域很少有证据表明性激素能解释人类认知行为上的个体差异。例如,为什么有些女性会患产后抑郁症而其他的产后女性却会不,仅是对激素变化的反应不同而已?为什么有些女性报告说,补充雌激素改善了她们的记忆,然而大规模的绝经后雌激素治疗研究并未显示出大规模的记忆被改善的表现?
性激素相关的某些疾病发病几率的性别差异研究,也缺少神经学基础。例如,为什么女性情绪障碍的发生率较高,而男性小儿多动症(ADHD)发生率较高,或者说女性精神分裂症的晚发率更高。
在寻找这些问题的答案时,NIMH的研究者们专注于“工作记忆”研究。工作记忆是目前研究的比较透彻的疾病相关神经回路,众所周知,介导它的电路始于大脑执行中枢(前额叶皮层),终于记忆中枢(海马体)。值得注意的是,海马体活动在工作记忆处理中常常受到抑制。
脑源性神经营养因子(brain derived neurotrophic factor ,BDNF)是这条回路的关键化学信使,根据小鼠实验获得的线索,该研究小组推测,雌激素通过与BDNF相互作用,从而微调工作记忆回路。为了找到答案,研究人员分别用两个BDNF基因版本,操控健康女性的雌激素水平。在几个月的实验中,定期扫描39名被测试女性在处理工作记忆任务时的大脑活动,以观察基因-激素相互作用对神经电路的功能影响。
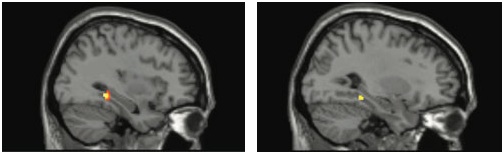
研究人员首先使用了PET(正电子发射断层扫描),随后又使用了fMRI(功能核磁共振成像)证实了PET的扫描结果,两种影像学方法都观察到了相同的结果,增强了观察结果的准确性。研究人员发现两种BDNF基因突变都造成了海马体的异常活动。该基因-激素相互作用影响思维和行为的观察结果与动物实验的结果一致,研究人员怀疑,该影响机制也能增加精神疾病风险。
携带特殊BDNF基因版本的女性,在进行工作记忆处理时,PET扫描图像(左)和fMRI扫描图像(右)都显示了相同的海马体非典型活跃(黄色),这种活跃在正常工作记忆中是一种异常现象。
《Molecular Psychiatry》该篇文章的第一作者, NIMH的Shau-Ming Wei博士
来自:生物通
更多阅读:



