当昔日坚固的牙齿日渐稀少,而且牙口不好的时候,你是否想过牙口不好不仅会影响食欲,还会给健康带来隐患?越来越多的研究表明维持咀嚼功能可能对整体健康起着至关重要的作用,而咀嚼效率降低或缺乏被认为是让很多中老年人苦恼的问题。它与营养摄入不足、认知障碍、心血管疾病、中风以及肥胖的风险增加密切相关。
咀嚼功能受损与认知缺陷相关
多个临床前动物研究表明,认知缺陷可在短时间内遭受磨牙功能丧失的老年动物中观察到。而接受相同实验治疗的年轻动物并未出现认知缺陷。在这些研究中,用人工牙冠修复受损的臼齿可以逆转它们学习障碍,即使是在年长的动物中也是如此。【1】
那么,咀嚼功能受损是如何与认知障碍联系到一起的呢?之前有小鼠实验将无磨牙状态与糖皮质激素反应联系在一起,而这或与老年小鼠的空间学习缺陷和海马体神经元死亡相关。【2】
咀嚼能力下降不利于行为心血管健康
此外,完善的咀嚼功能或能改善心血管健康。2020年来自法国巴黎大学的Rangé研究团队发表在Clinical Nutrition杂志上的研究显示,老年人的咀嚼功能下降会对心血管健康产生负面影响。【3】
图片来源:参考文献【3】
这项来自巴黎的前瞻性研究检测了5,011 名未患有心血管疾病的成年人(平均年龄 59 岁;36.8% 为女性)的咀嚼能力和心血管健康状况。行为心血管健康的评估涉及吸烟行为、BMI、身体活动水平和饮食情况。生理心血管健康则通过测量总胆固醇、血糖和血压来评估。
研究结果表明咀嚼能力更强(OR = 2.37;95% CI: 1.37-4.12)的受试者在调整年龄、性别、婚姻状况、教育、抑郁状态和牙菌斑后拥有理想的心血管健康的可能性更大。这种关联存在于行为而非生理心血管健康,且与饮食指标关联最强。
咀嚼能力与血糖水平的关联
还有研究发现适当的咀嚼功能通过增加肠组织中的厌食性肠肽 YY 和胰高血糖素样肽 1 (GLP-1) 来降低餐后血浆葡萄糖浓度,从而导致早期胰岛素分泌的增加。另外,GLP-1 受体的激活可降低血红蛋白 A1c。那么,咀嚼能力能否影响II型糖尿病患者(T2D)的血糖水平呢?
近期,来自美国布法罗大学(University of Buffalo)牙科医学院的研究人员在PLOS ONE上发表的一项研究表明具有完整咀嚼功能的 II型糖尿病患者的血糖水平明显低于有效咀嚼能力受损的患者。【4】
图片来源:参考文献【4】
II型糖尿病患者的咀嚼能力
与血糖水平的控制关联密切
这项回顾性研究的开展时间为2020年3月至2022年7月,共收集了 94 名曾在伊斯坦布尔(土耳其)一家公立医院就诊的 II型糖尿病患者的数据,这些患者年龄在30 至 75岁,II型糖尿病确诊时长超过1年。患有妨碍交流的认知障碍、I 型糖尿病病史、心力衰竭、癌症、肝硬化、排除慢性肾病、妊娠风湿病或癌症。
他们在这项回顾性研究中接受了口腔健康检查、糖化血红蛋白(A1c)测试和 II型糖尿病评估。其中A1c测试通过检测血液中糖化血红蛋白的百分比以反映出过去2到3个月的平均血糖水平。A1c 水平越高,血糖控制就越差,患糖尿病并发症的风险也就越高。
根据咬合力水平(Eichner 指数),患者被分为2组:对照组(control)患者具有良好的“咬合功能”,有足够多的牙齿正确排列使其可以很好地咀嚼食物;该组的A1c血糖水平为 7.48。测试组(test)的患者则由于缺少部分或全部牙齿不能很好地咀嚼食物;他们的血糖水平几乎高出 2%,达到 9.42。考虑到二甲双胍等糖尿病相关口服药物对血糖的影响,研究人员收集了患者的用药信息,发现对照组和测试组之间并无差异。
图片:对照组和测试组患者的人体测量数据
图片来源:参考文献【4】
图片:对照组和测试组患者的A1c血糖水平测量数据
图片来源:参考文献【4】
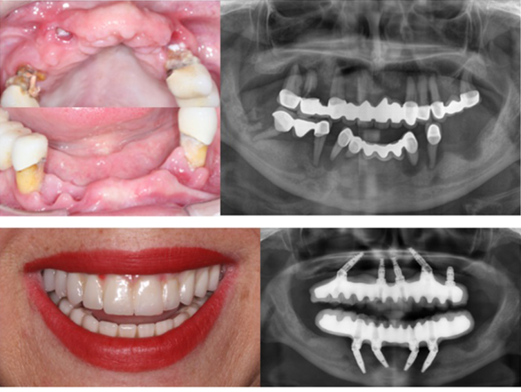
那么,改善牙齿咬合状态能否降低血糖水平呢?为解答这个问题,研究人员在想要重建牙齿咬合的志愿者身上中进行了相应的种植体支持固定修复手术以改善咬合状态及牙齿排列情况。他们发现手术后A1c水平逐渐下降,1年半后血糖水平显著降低。
图片:种植体支持固定修复手术前(上图)和手术后(下图)患者牙齿排列及咬合情况
图片来源:参考文献【1】
图片:种植体支持固定修复手术后患者血糖A1c水平逐渐降低
图片来源:参考文献【4】
所以,当家里人问你如何改善认知功能、心血管健康,控制血糖水平时,除了给他们合适的食物,别忘记帮他们改善咬合咀嚼能力!
参考文献:
【1】Teixeira FB, de Melo Pereira Fernandes L, Noronha PAT, dos Santos MAR, Gomes-Leal W, do Socorro Ferraz Maia C, Lima RR. Masticatory Deficiency as a Risk Factor for Cognitive Dysfunction. Int J Med Sci 2014; 11(2):209-214. doi:10.7150/ijms.6801. https://www.medsci.org/v11p0209.htm
【2】Onozuka M, Watanabe K, Fujita M, Tonosaki K, Saito S. Evidence for involvement of glucocorticoid response in the hippocampal changes in aged molarless SAMP8 mice. Behav Brain Res. 2002;131:125-129
【3】Rangé, H., Perier, M. C., Boillot, A., Offredo, L., Lisan, Q., Guibout, C., Thomas, F., Danchin, N., Boutouyrie, P., Jouven, X., Bouchard, P., & Empana, J. P. (2020). Chewing capacity and ideal cardiovascular health in adulthood: A cross-sectional analysis of a population-based cohort study. Clinical nutrition (Edinburgh, Scotland), 39(5), 1440–1446. https://doi.org/10.1016/j.clnu.2019.05.029
【4】Bayram YE, Eskan MA (2023) Mastication inefficiency due to diminished or lack of occlusal support is associated with increased blood glucose levels in patients with type 2 diabetes. PLoS ONE 18(4): e0284319. https://doi.org/10.1371/journal.pone.0284319
来自: 生物谷
更多阅读:






