高盐饮食可能导致心血管疾病,是全球死亡的主要原因之一。一个中国研究小组采用了一个大鼠模型来研究孕妇的高盐饮食对孩子的影响,因为中国的日常食盐消费仍然很高。来自中国广州医科大学附属第三医院的研究小组目前已在KeAi期刊《Gynecology and Obstetrics Clinical Medicine》上发表了他们的发现。

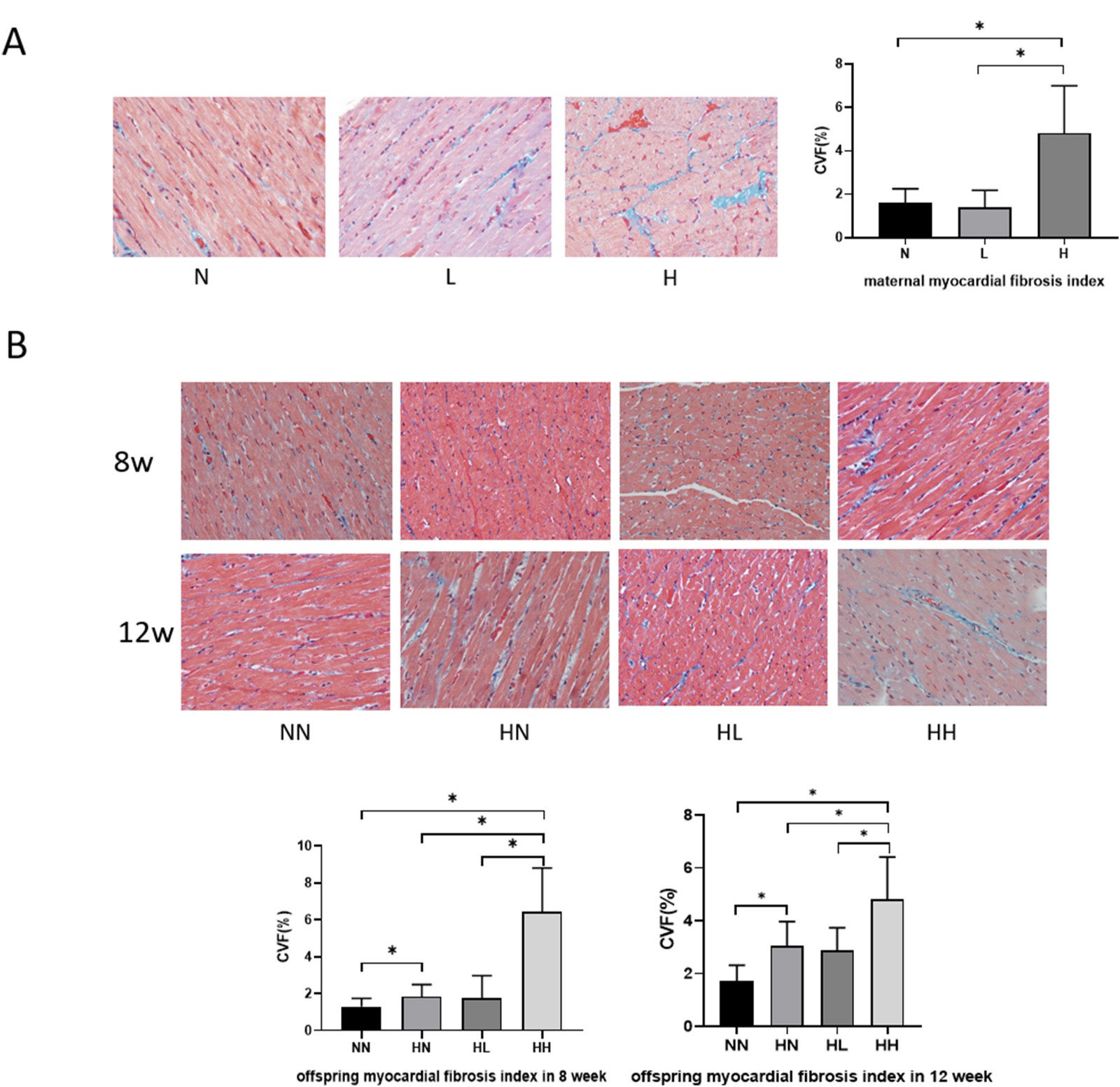
根据这项研究,产妇的高盐饮食会导致母亲的高血压和心血管疾病。它们也会导致高血压,并增加其孩子患高血压的可能性。心脏瓣膜增厚,或心肌纤维化,往往伴随着这些疾病。
在评论该实验时,共同通讯作者陈兢思解释说:“我们把怀孕的雌性大鼠分成三个独立的小组,给每个小组喂食含有不同浓度盐的食物(高、正常和低)。为了探索母体高盐饮食对高血压的影响,我们监测了母体和其最终后代的血压和尿蛋白水平。我们发现,怀孕期间高盐暴露的后代的血压高于子宫内正常盐暴露的后代的血压,即使他们在断奶后都被喂以正常饮食。这表明,子宫内的高盐环境已经影响到婴儿的发育,并在他们过渡到成年后继续影响他们。”

为了确定高盐饮食对后代心脏组织的影响,研究小组测试了特定的蛋白质水平,发现高盐环境可能导致心肌纤维化,这与高血压和心力衰竭等情况有关。此外,后代在成年后患上高血压的风险也会增加。
陈兢思补充说:“这项研究表明,过量摄入盐的危害比我们想象的要深远。我们都应该把盐的摄入量控制在建议的准则之内,尤其是怀孕期间的女性。”
自 cnBeta.COM
更多阅读:
