众所周知,新生突变在适应度降低的散发性障碍发生过程中扮演着重要角色。近日,一篇发表在国际杂志Nature Communications上题为“A de novo paradigm for male infertility”的研究报告中,来自纽卡斯尔大学等机构的科学家们通过研究识别出了一种引发严重形式男性不育症的新型遗传机制。这或是理解男性不育症根本原因上取得的一项重要突破,或为后期开发新型靶向性疗法提供新的思路和希望。
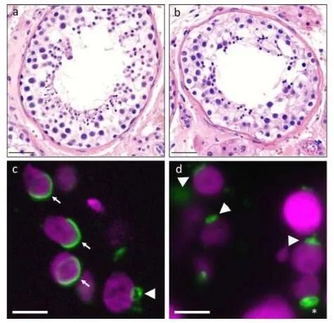
对对照和TOPAZ1先证者进行睾丸组织学和异常顶体形成的描述。
图片来源:DOI: 10.1038/s41467-021-27132-8
研究者表示,并非遗传自父亲或母亲机体的新生突变或许在男性不育症上扮演着关键角色。研究者发现,在生育过程中,当父母双方机体的DNA被复制时就会发生突变,从而导致男性后期出现不育症。研究人员希望这项最新研究未来或能揭示夫妻间不孕不育的原因并帮助开发出最佳的治疗性手段。
研究者Joris Veltman教授说道,这是我们理解男性不育症发生原因的一项真正的模式转变。大多数遗传性研究都着眼于引起不育症的隐性遗传原因,即父母双方或许携带有特殊的基因突变,而当后代男性遗传了这些突变拷贝就会出现不育症,从而导致其后期生育能力出现问题。然而本文研究发现,在生育过程中父母机体DNA复制时所发生的突变或许在其后代男性的生育力上发挥着重要作用。
然而,目前研究人员并不理解大部分男性不育症背后的原因,本文研究或许就能提供相关的线索。文章中,研究人员收集并研究了来自185名不育男性和其父母机体的DNA样本,结果识别出了145种罕见的改变蛋白质的突变,这些突变很有可能会对男性的生育力产生负面影响。这些突变中有高达29个突变会影响直接参与精子生成(精子细胞发生的过程)的基因的功能,或者其它与生育相关的细胞过程。更重要的是,研究人员在多个不育男性机体中识别出了RBM5基因的突变,此前对小鼠进行的相关研究结果表明,该基因在男性不育症上扮演着关键角色。
图片来源:https://www.nature.com/articles/s41467-021-27132-8
重要的是,这些突变大多会导致不育的主要形式,即仅需要一个突变的基因。因此,由这些突变所引起的不育症中有50%的可能性会遗传给男性的后代(如果使用辅助生殖技术的话),这可能会导致不育症发生,尤其是儿子。
目前有数百万的孩子都因为夫妻双方不孕不育而选择辅助生殖技术所出生,本文研究结果表明,这些孩子中有很大一部分可能会从其父亲那里遗传不育症。Veltman教授说道,如果我们能够进行基因诊断,那么就能更好地理解男性不育症的问题以及为何一些不育男性仍然能够产生可成功用于辅助生殖技术所需的精子。有了这些信息以及其他科学家们的研究,研究人员希望临床医生能够改善对夫妻相关问题的咨询,并建议采取最好的策略来让妻子顺利怀孕,要么剔除适当的医学辅助程序等。
据估计,有高达7%的男性受到了不育症的影响,而异性恋夫妻中50%的不育症问题都与男性有关,在大约一半的男性不育症案例中,其背后的原因研究人员并不清楚。未来,研究人员希望能通过对更多的不育症男性进行分析来扩大其相关研究;研究者也将会进一步研究这些新识别出的突变基因,这些基因对精子生成和人类的整体生育能力都非常关键。综上,本文研究结果表明,新生突变或在严重男性不育症中扮演着关键角色,同时其也是影响人类生育能力的新型候选基因。
原始出处:Oud, M.S., Smits, R.M., Smith, H.E. et al. A de novo paradigm for male infertility. Nat Commun 13, 154 (2022). doi:10.1038/s41467-021-27132-8
来自:
更多阅读:


