加州大学洛杉矶分校(下文简称UCLA)的一项研究显示,当青少年看到自己的照片在社交媒体上得到了许多“赞”时,激活的脑区与吃巧克力及赢得一大笔钱时激活的脑区相同。
来自UCLA Ahmanson-Lovelace脑成像中心的研究者告知32名13至18岁的青少年,他们正在使用一个与Instagram类似的图片分享社交软件。研究者用计算机屏幕向他们展示了148张照片及其获“赞”数,其中40张由各青少年提供,而获“赞”数由研究者人为赋值。同时,使用功能磁共振成像(fMRI)对青少年的大脑活动进行分析,该过程共持续12分钟。
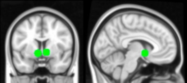
该研究的作者Lauren Sherman,是一位来自脑成像中心以及UCLA儿童数字媒体中心的研究者。她表示,当青少年看到自己的照片获得了许多“赞”时,大脑的许多脑区都被激活,其中激活程度最高的是纹状体的一部分,叫做伏隔核,是大脑奖赏回路的一部分,这一奖赏回路在青少年时期尤为敏感。当青少年看到自己的照片得到了许多“赞”时,研究者还观察到了社会大脑区域以及视觉注意相关脑区的激活。
青少年在决定是否要对某张图片点赞时,深受该图片已获“赞”数的影响。Sherman表示,用同样的照片,给其中一半青少年看时已经有很多“赞”了,而另外一半几乎没有“赞”。当青少年看到“赞”多的照片时,他们则更倾向于点赞。青少年对信息的反应会根据该信息是否受同龄人的喜爱而改变,即使这些同龄人都是陌生人。
这项研究发表在《心理科学》(Psychological Science)上。
该研究的另一位作者,来自UCLA Semel神经科学与人类行为研究院的精神病学及生物行为科学教授Mirella Dapretto表示,在青少年现实生活中,同伴的影响力是巨大的。在本研究中,青少年面对的是虚拟的陌生人,但他们依然表现出了同伴影响,既体现于大脑活动水平,也体现于他们选择点赞的照片。他认为在现实生活中,当青少年看到对自己重要的人的“赞”时,这一效应会尤为明显。
家长需要担心社交媒体吗?研究者表示,与其他媒体类似,社交媒体也有其优点和缺点。
Daoretto表示,许多青少年和年轻人在网上与陌生人结交朋友,因此青少年有更大可能受到不良朋友的影响,因此家长应当担心。本研究的另一位作者Patricia Greenfield,来自UCLA儿童数字媒体中心的负责人表示,家长过去知道或认识自己子女的朋友们,但当他们在网上结交了几百个朋友,家长便无从知道或认识他们的朋友了。
但Sherman也列举了几个社交媒体的优点。如果青少年的朋友在社交媒体分享了一下积极行为,青少年看到后会受到影响。对家长而言更重要的是了解青少年在网络上接触的人,以及这些人在社交媒体上的行为。另外,正如先前研究所示,青少年的自我认同会受到其他人观点的影响,这一点在该研究中也有所体现。
从众的同伴压力一直存在,在线点“赞”会有所不同吗?
该研究中青少年被呈现了三类图片:中性图片——食物和朋友,危险图片——烟草和酒精等,以及自己的图片。UCLA的杰出心理学教授Greenfiled表示,对所有图片,当已获“赞”数更多时,青少年更倾向于点赞。从众效应,尤其对青少年自己的图片更为明显,显示出了同伴支持的重要性。
当青少年在观看危险图片时,大脑中认知控制与反应抑制相关区域的激活水平低于观看中性图片时,这些区域包括大脑的背侧前扣带皮层、双边前额叶皮质和侧顶叶皮质。
Dapretto表示,这些脑区与决策相关,能够阻止或批准我们进行某项活动。看到危险图片时激活水平下降,或许降低了青少年的防范程度。
[Rare via sciencedaily]
来自:煎蛋
更多阅读:




