新冠感染1周后抗原或核酸检测可能就会转阴,但这并不意味着新冠病毒已经被完全清除。越来越多的“阳康”发现,尽管已经转阴多日,身体似乎依然没有恢复如初,乏力等症状仍持续存在。
当疲劳、记忆力减退、脑雾等症状持续3个月仍未消失,可能就是发生了“长新冠”,也就是新冠后遗症。大约五分之一的感染者会出现“长新冠”,其长期危害目前仍不可知。
近期,顶刊《Nature》发表的一篇文章指出,新冠病毒感染人体后会侵入包括大脑在内的全身各处脏器,而且会长达数月依然无法清除!这再次敲响了“长新冠”的警钟。

doi: 10.1038/s41586-022-05542-y.
为全面剖析新冠病毒在人体的分布和清除状况,研究团队从疫情大流行之初就开始了这项课题,他们一共对44例新冠死亡患者进行了尸检,根据从感染到死亡的时间间隔将患者分为早期(14天内)、中期(15~30天)和晚期(31天及以上)。
研究对象中女性占30%,中位年龄是62.5岁,从死亡到尸检的中位时间间隔是22.2小时。通过对全身器官中新冠病毒载量的检测发现,除了呼吸道组织,大脑、心脏、小肠、肾上腺、骨骼肌等多处脏器在感染早期就受到了新冠病毒入侵。
需要提及的是,在感染早期,新冠病毒主要位于呼吸道,此时呼吸道组织中的病毒载量是非呼吸道组织的100倍以上。随后,呼吸道组织中的病毒量随时间迅速下降,但大脑等非呼吸道组织中的病毒却持续存在,清除速率明显更加缓慢。

doi: 10.1038/s41586-022-05542-y.
这一现象背后的原因还不清楚。研究人员认为,大脑等非呼吸道组织中的病毒可能更加不易被免疫系统发现,对干扰素等免疫活性物质的抵抗性增强,进而导致病毒清除缓慢。
新冠病毒入侵大脑会不会只是特例呢?研究结果提示,90.9%的病例都存在新冠病毒侵入中枢神经系统的现象,83.3%的晚期患者的大脑中含有新冠病毒RNA,最迟在感染后230天仍然存在。

接下来,研究团队分析了非呼吸道组织中的病毒是否仍具备复制能力。新冠病毒一旦复制就会产生很多小片段RNA,被称作亚基因组RNA,亚基因组RNA会进一步表达病毒复制所需的蛋白。因此,亚基因组RNA含量可以反映病毒的复制能力。
检测结果表明,非呼吸道组织样本中可以检出亚基因组RNA,并且亚基因组RNA的含量与病毒载量呈正相关。这说明,非呼吸道组织中的病毒依然具有活性。
研究人员进一步观察了丘脑、心脏、肾上腺等组织中的新冠病毒对Vero E6细胞的感染复制能力。结果再次证实,这些非呼吸道组织中的新冠病毒仍然具有复制功能。
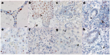
原位杂交技术可以更加直观地观察组织中RNA的丰度和分布。研究团队在超过35种组织类型的样本中进行了新冠病毒RNA原位杂交,从而在大脑、甲状腺、食管、阑尾、脾脏、卵巢、睾丸、子宫内膜等组织中直接观察到新冠病毒的存在。
不过,尽管在大脑组织中存在数量可观的新冠病毒,但大脑却几乎没有出现炎症等病理学变化。仅有少数病例的脑组织有充血表现,这可能与感染引起的血流动力学变化有关。

doi: 10.1038/s41586-022-05542-y.
另外,仅有2例脑组织出现了缺氧缺血改变,而且其中1例是癫痫患者,可能死于与病毒感染无关的癫痫并发症。
这项研究刷新了我们对新冠病毒的认识。感染新冠绝不仅仅是一次感冒,也不是一次流感,而是一场全身动员的战斗。我们可能需要更加重视这个敌人,不能犯下轻敌的错误。
不过,我们也无需对此过度担忧。其一,这项研究的对象是未接种疫苗的老年个体,并不能代表接种过疫苗、或者年轻群体感染后的状态。
其次,这项研究的病例来源于疫情大流行之初,当时的毒株与现今主流的奥密克戎毒株存在较大不同,因此研究结果也无法推广到当前和未来的病毒变种。
另外,虽然“长新冠”看似可以归咎于病毒感染的持久性,记忆力减退、脑雾等症状也似乎与病毒入侵大脑有关,但这仅仅是联想,两者关联还没有得到证实。
并且,大脑组织中并未出现明显的病理学变化,这也告诉我们,新冠对非呼吸道组织的损伤可能很有限,对此需要重视,但暂且不需过度担心。
参考文献:
Sydney R Stein, et al. SARS-CoV-2 infection and persistence in the human body and brain at autopsy. Nature. 2022, 612(7941): 758-763. doi: 10.1038/s41586-022-05542-y.
来自: 生物谷
更多阅读:
