近日,美国国立卫生研究院(NIH)Daniel S. Chertow团队,在顶级期刊《自然》发表的一项研究成果[1],引起了全球范围内的广泛关注。
他们对44名感染过新型冠状病毒的死者开展了全面的尸检,发现在感染早期新冠病毒就在多种呼吸道和非呼吸道组织(包括大脑)中复制;而且他们在包括整个大脑在内的多个解剖部位持续检测到新冠病毒的RNA,甚至在症状出现后230天也能检测到。
让人意外的是,虽然新型冠状病毒对人体的感染是广泛而持久的,但是他们在呼吸道以外组织和器官中,几乎没有观察到炎症或直接病毒细胞病理学的证据。
▲ 论文首页截图
新型冠状病毒感染是一种会影响多种组织和器官的疾病,严重的情况下会导致多种器官功能障碍,威胁感染者的生命。
早期的尸检研究已经证实了新冠病毒可以感染人体的多种组织器官,也有研究发现肺外器官往往缺乏病毒介导的损伤或炎症的组织病理学证据。在Chertow和他的同事看来,这似乎是个悖论。
为了更深入地了解新冠病毒在人类中的细胞趋向性、复制能力、持久性和进化,并在受感染组织中寻找新冠病毒感染相关的组织病理学证据,他们对44例感染过新冠的死者展开了全面的尸检。
▲ 44例尸检时间(2020年3月19日-2021年3月19日)
这44名死者都没有接种疫苗,其中30%为女性,中位年龄为62.5岁,61.4%的人有三种及以上的合并症。所有患者从症状出现到住院和死亡的中位时间分别为6天和18.5天,尸检距离死亡的中位时间是22.2小时。
Chertow团队根据患者死亡距离患病的时长,将尸检病例分为早期(≤14天,17例)、中期(15-30天,13例)或晚期(31天及以上,14例),还将病毒持续存在定义为在晚期尸检病例中发现新冠病毒RNA。
他们在84个解剖部位和体液中检测到了新冠病毒RNA的存在,与非呼吸道组织相比,呼吸道组织的病毒载量在早期、中期或晚期的样本中均更高,但是呼吸道组织的病毒载量下降速度远快于非呼吸道组织。这也说明,非呼吸道组织清除病毒的效率较低。
▲ 病毒载量下降速度的比较
在所有晚期病例中,虽然在血浆中检测不到新冠病毒RNA,但在多个组织组中都检测到了新冠病毒RNA的持续存在。
在11例有中枢神经系统组织活检的病例中,10例病例的组织中检测到新冠病毒RNA。值得注意的是,在6例晚期病例的枢神经系统组织中,有5例的大部分脑区检测到了新冠病毒RNA,其中编号为P42的死者死亡距离发病的时间长达230天。新冠病毒感染持续的时间可见一斑。
▲ 新冠病毒感染广泛且持久
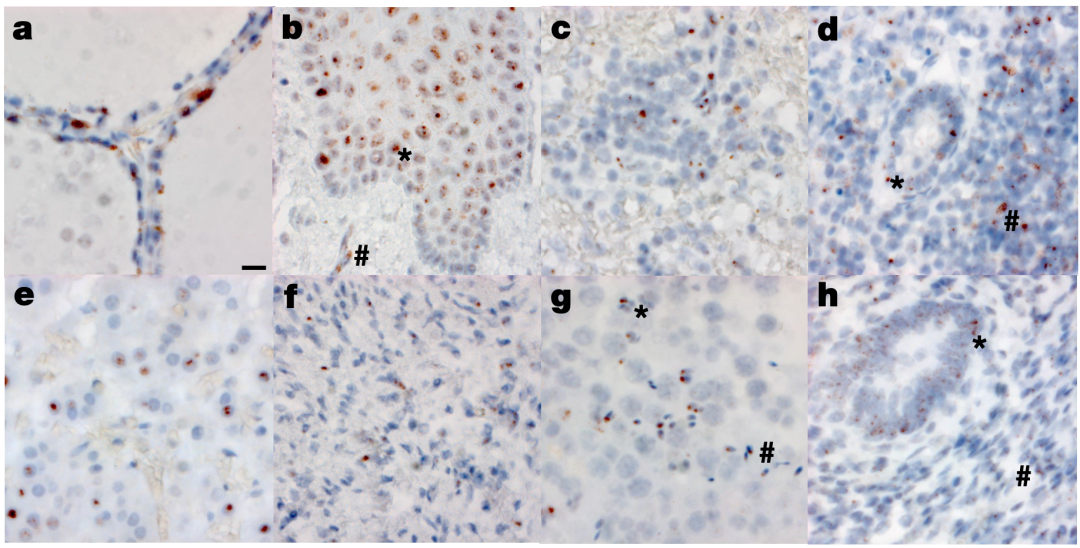
针对肺外组织的新冠病毒RNA原位检测发现,新冠病毒RNA在甲状腺、食道、脾脏、阑尾、肾上腺、卵巢、睾丸(成熟的精子中也存在)和子宫内膜等组织的细胞中存在,定位于这些组织细胞的高尔基体和内质网。
▲ 新冠病毒RNA原位检测结果
在44例病例中,38例确定死于新型冠状病毒感染,其中35例(92.1%)在死亡时有急性肺炎或弥漫性肺泡损伤。10例(23%)出现肺血栓栓塞性并发症,4例出现心肌浸润,包括1例实质性心肌炎。此外,他们还在淋巴结和脾脏中,同时观察到淋巴细胞耗竭和滤泡及副皮质区增生。其他非呼吸系统的组织学变化,主要与治疗的并发症或死者原有的合并症有关。
虽然11个大脑组织中的10个有大量的病毒负担,但Chertow和他的同事几乎没有发现组织病理学的变化。此外,有一个不太常见的变化是血管充血,他们认为这可能与感染引起的血流动力学变化有关。
总的来说,Chertow团队的这项迄今最全面的研究表明,在感染呼吸道组织之后,新冠病毒就会散播到全身,而且新冠病毒在非呼吸道组织中的复制可能持续长达7个月之久。
需要指出的是,这个研究涉及的病例主要是年龄较大且未接种疫苗的人,在年轻、健康或接种过疫苗的人体内是否也如此,仍需要进一步的研究;其次,这个研究是在新冠大流行的第一年开展的,目前新亚型是否也有这个特点,也需要进一步研究;最后这个研究发现的病毒持续存在现象不能用来解释长期新冠后遗症。
尽管如此,这个研究加深了我们对新冠病毒感染持久性的认知,并为以后研究新冠长期后遗症打下了基础。
参考文献:
[1].Stein SR, Ramelli SC, Grazioli A, et al. SARS-CoV-2 infection and persistence in the human body and brain at autopsy. Nature. 2022;612(7941):758-763. doi:10.1038/s41586-022-05542-y
来自: 奇点网
更多阅读:





